人工植牙

對於許多有缺牙困擾的患者來說,
「想好好吃頓飯」
可能是一件看似簡單,卻遙不可及的願望。

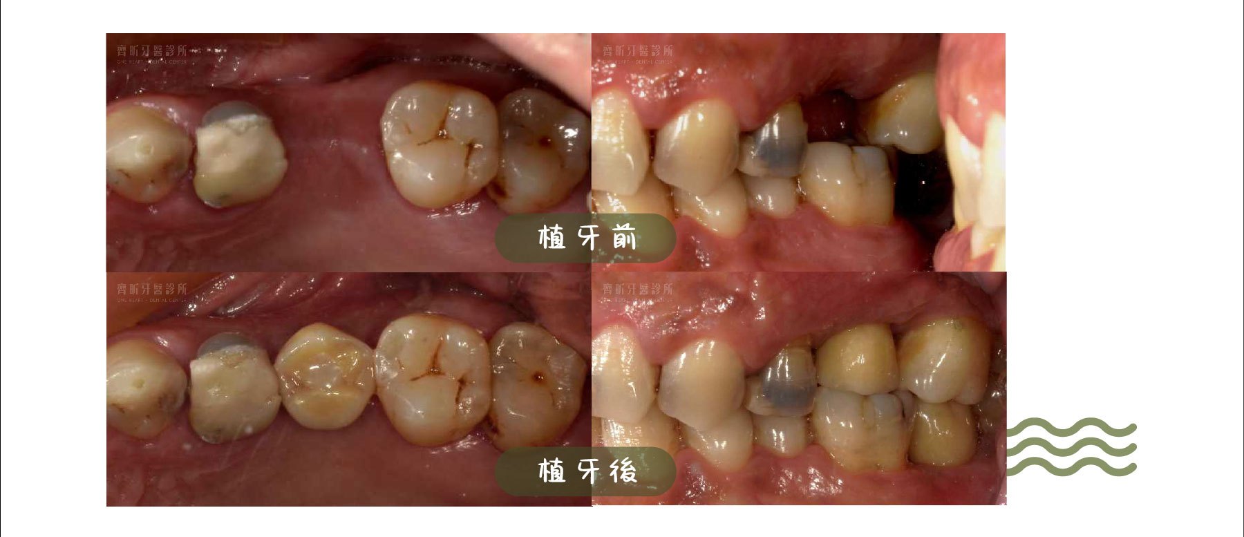
這位患者因長期缺牙,在日常飲食中常感到不便,無法好好咀嚼,也逐漸影響到消化與整體生活品質。
來診所諮詢時,他坦言:「雖然不能一次做完,但我真的很想能正常吃飯!」
在與醫師充分溝通後,雙方決定先進行單顆植牙,將最迫切影響咀嚼功能的位置優先處理。

植牙手術過程順利,術後恢復良好。
患者在回診時開心地分享:「裝上植牙後,吃東西真的方便多了,不再需要只用一邊牙齒咬,感覺整個人都輕鬆了!」
雖然鄰近牙齒仍有問題尚待處理,但他也已經規劃在未來經濟許可時,繼續進行其他牙齒的修復。
